Servicios de EcorVet
En EcorVet realizamos ecografías veterinarias adaptadas a las necesidades de cada paciente, desplazándonos directamente a tu clínica con nuestro ecógrafo Mindray M9, equipado con sondas microconvex, phased array de baja y alta frecuencia, que garantizan una excelente calidad de imagen en pacientes de diferentes especies tamaños.
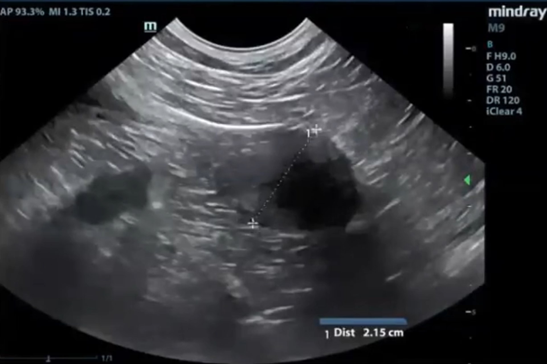
Ecografía abdominal
Evaluación detallada de todos los órganos abdominales. Permite detectar masas, cuerpos extraños, procesos inflamatorios, alteraciones urinarias o reproductivas, así como enfermedades hepatobiliares o gastrointestinales.
Ecografía abdominal
Evaluación detallada de todos los órganos abdominales. Permite detectar masas, cuerpos extraños, procesos inflamatorios, alteraciones urinarias o reproductivas, así como enfermedades hepatobiliares o gastrointestinales.
Ecocardiografía
Valoración del corazón y los grandes vasos. Indicada para detectar insuficiencias valvulares, cardiopatías congénitas o adquiridas, evaluar la función cardíaca y monitorizar pacientes cardiópatas.
Ecografía torácica
Exploración no invasiva para valorar la pared torácica, pleura, pulmones, mediastino y diafragma. De gran utilidad en casos de derrames pleurales, masas torácicas o alteraciones respiratorias.
Ecografía torácica
Exploración no invasiva para valorar la pared torácica, pleura, pulmones, mediastino y diafragma. De gran utilidad en casos de derrames pleurales, masas torácicas o alteraciones respiratorias.
Ecografía gestacional
Exploración indicada para confirmar y monitorizar la gestación. Se recomienda realizarla a los 28 días tras la monta/servicio, repetir a los 50 días y, en pacientes con riesgo de parto complicado, también en los días previos al mismo.
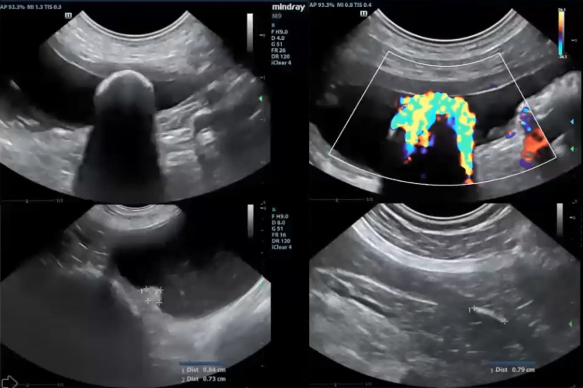
Ecografía Doppler
Evaluación de los grandes vasos, la vasculatura renal y hepática. Permite diagnosticar patologías vasculares, alteraciones del flujo sanguíneo y monitorizar enfermedades cardiacas o sistémicas.
Ecografía Doppler
Evaluación de los grandes vasos, la vasculatura renal y hepática. Permite diagnosticar patologías vasculares, alteraciones del flujo sanguíneo y monitorizar enfermedades cardiacas o sistémicas.
Intervencionismo ecoguiado
Técnica que complementa la valoración médica mediante aspiraciones con aguja fina (PAAF) o biopsias ecoguiadas. Proporciona muestras precisas y seguras para análisis citológicos o histopatológicos.
⚠️ La sedación y monitorización del paciente durante el procedimiento corren a cargo del veterinario responsable de la clínica solicitante.
Medición de presión arterial oscilométrica (HDO)
Herramienta fundamental en el diagnóstico y control de pacientes con enfermedades cardiacas, renales o hipertensión sistémica. Permite obtener lecturas fiables y repetibles en consulta.
Medición de presión arterial oscilométrica (HDO)
Herramienta fundamental en el diagnóstico y control de pacientes con enfermedades cardiacas, renales o hipertensión sistémica. Permite obtener lecturas fiables y repetibles en consulta.
Holter veterinario
Registro electrocardiográfico continuo de 24 h que permite detectar arritmias intermitentes y evaluar la función cardíaca en condiciones normales. Proporcionamos un informe claro y detallado para facilitar la interpretación y la toma de decisiones por parte del veterinario.
Telemedicina
Servicio de diagnóstico a distancia para clínicas veterinarias que requieran informes radiológicos especializados. A partir de estudios completos (mínimo dos incidencias perpendiculares de la zona a evaluar), ofrecemos una segunda opinión o un diagnóstico complementario para mejorar el servicio de imagen del centro.
Telemedicina
Servicio de diagnóstico a distancia para clínicas veterinarias que requieran informes radiológicos especializados. A partir de estudios completos (mínimo dos incidencias perpendiculares de la zona a evaluar), ofrecemos una segunda opinión o un diagnóstico complementario para mejorar el servicio de imagen del centro.
